Unsere Leistungen
Der Magnet unseres Niederfeld MRT hat eine Nutzungsdauer von 100 Jahren.
Die Sonnenenergie vom Dach unserer Praxis reicht für den Betrieb aus.
Die offene Niederfeld-MRT ist sehr schonend für den Patienten,
die elektromagnetische Strahlung beträgt nur ca. 1% eines Hochfeldgerätes.

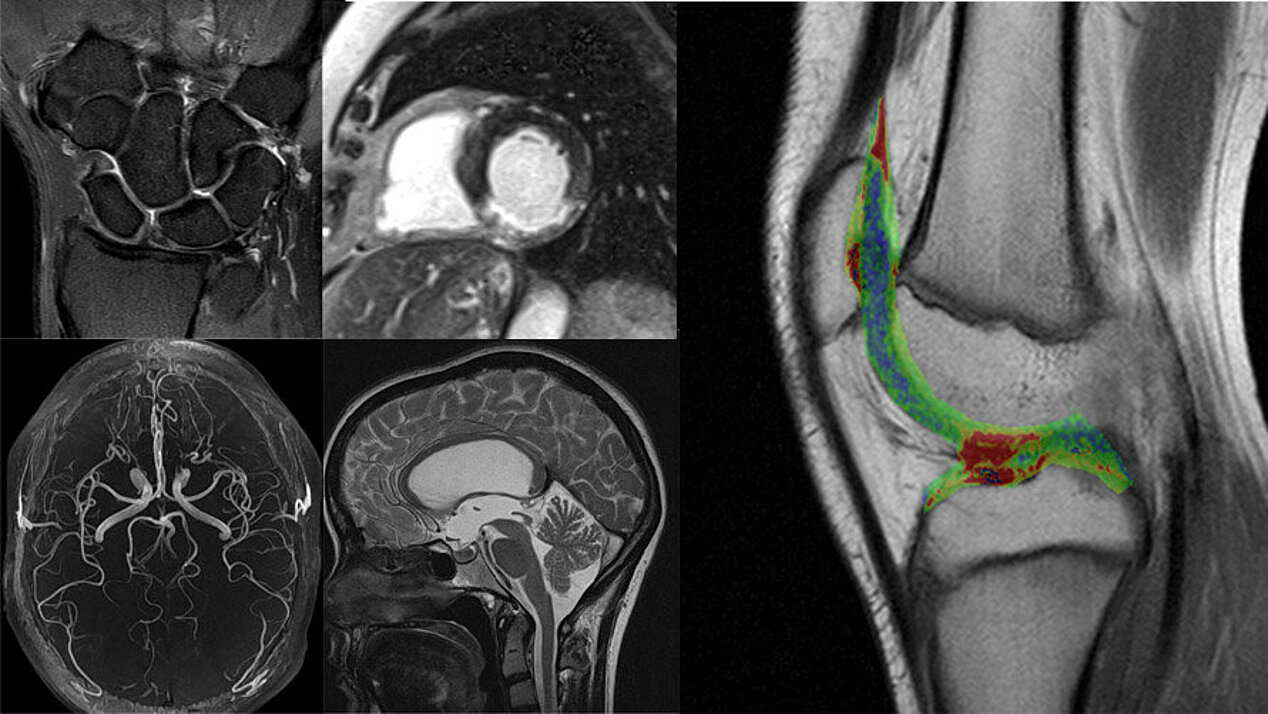
Diagnostik im offenen MRT
- Kopf
- Wirbelsäule
- Gelenke, Sehnen & Muskulatur
- Hals, Brust- & Bauchraum
- Beckenorgane
- Mamma-MRT & Prostata-MRT nur bei Platzangstpatienten

Hell und Lichtdurchflutet
Es ist uns wichtig, dass Sie sich während der MRT wohlfühlen.
Unsere Behandlungsräume sind hell und lichtdurchflutet – das sorgt für eine angenehme und natürliche Atmosphäre.
Arztgespräch nach der Untersuchung
Direkt im Anschluss an die MRT-Untersuchung findet ein persönliches Gespräch zwischen Arzt und Patient statt, in dem Ihnen der Befund ausführlich erläutert wird.
Im Anschluss des Gesprächs erhalten Sie einen schriftlichen MRT-Befund. Ihre MRT-Bilder sind zudem kostenfrei online abrufbar.



